Πόροι παθολογίας
Πόροι παθολογίας
Η Παγκόσμια Συμμαχία ECD είναι αφιερωμένη στην ευαισθητοποίηση σε όλο τον κόσμο, ιδίως στην ιατρική κοινότητα. Οι παθολόγοι, μεταξύ πολλών άλλων αναπόσπαστων ειδικοτήτων, έχουν σημαντικό ρόλο στη διαδικασία διάγνωσης Erdheim-Chester ασθένειας.
Ευχαριστούμε τους επαγγελματίες υγείας που παρέχουν ενημερωμένες πληροφορίες για να υποστηρίξουν τις προσπάθειες ευαισθητοποίησης του ECDGA. Η αφοσίωσή σας στην κοινότητα θα κάνει τη διαφορά στη ζωή των ασθενών και των οικογενειών παντού. Εάν θα θέλατε να προσθέσετε περισσότερο υλικό αναφοράς, παρακαλούμε ενημερώστε μας.
ΝΕΑ:
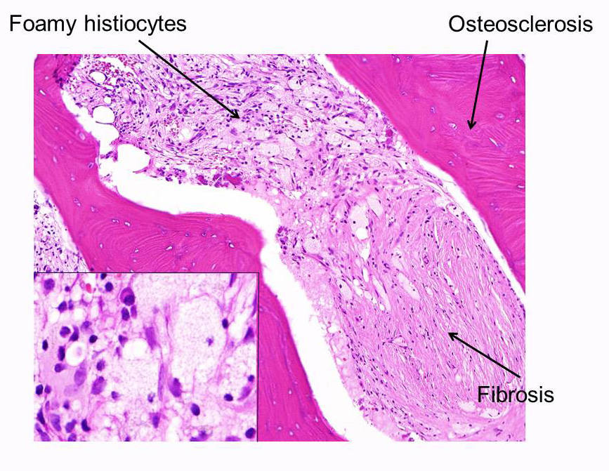
Erdheim-Chester σύνθετο
Υλικά παθολογίας
Ευχαριστούμε κάθε έναν από τους παθολόγους που παρείχαν αυτό το υλικό για να το μοιραστούν με την κοινότητα.
Επικοινωνήστε με έμπειρους παθολόγους
Ahmet Dogan, MD, PHD
Προϊστάμενος, Υπηρεσία Αιματοπαθολογίας, Τμήματα Παθολογίας και Εργαστηριακής Ιατρικής
Memorial Sloan Kettering Cancer Center
e-mail: dogana@mskcc.org
Επίκουρη Καθηγήτρια
Εργαστηριακή Ιατρική
Πανεπιστήμιο της Αλαμπάμα στο Μπέρμιγχαμ
Μπέρμιγχαμ, AL USA
e-mail: aravindr@uab.edu
Benjamin H. Durham, MD
Genomic Pathology Research Fellow in Molecular Oncology
Τμήμα Παθολογίας Zuckerman Research Center
Memorial Sloan Kettering Cancer Center
417 E 68th Street, Z-511 New York, NY 10065
e-mail: durhamb@mskcc.org
Elaine S. Jaffe, MD
Επικεφαλής, Τμήμα Αιματοπαθολογίας, Εργαστήριο Παθολογίας
Εθνικό Ινστιτούτο Καρκίνου
e-mail: ejaffe@mail.nih.gov
Jennifer Picarsic, MD
Παιδοπαθολόγος, Αναπληρώτρια Καθηγήτρια
Συνδιευθύντρια του Κέντρου Ιστιοκυττάρωσης
Cincinnati Children’s Hospital Medical Center (CCHMC)
Παθολογία και Εργαστηριακή Ιατρική
3333 Burnet Ave., MLC 1035 Cincinnati, OH 45229-3026
e-mail: Jennifer.Picarsic@cchmc.org
Karen L. Rech, MD
Τμήματα Παθολογίας και Εργαστηριακής Ιατρικής
Mayo Clinic
Rochester, Minnesota
e-mail: Rech.Karen@mayo.edu


